Здоровье

Гастроэнтеролог Наталья Сычёва рассказала, кому противопоказан горький шоколад
Количество горького шоколада в рационе необходимо уменьшить страдающим от мигрени, повышенного давления и сахарного диабета.
С Рождеством!
Дорогие друзья, коллектив Кузбасского хосписа поздравляет вас со светлым праздникам Рождества!

В Кузбассе 1,5 миллиона человек прошли диспансеризацию в 2023 году
Сотни кузбассовцев начали своевременное лечение после прохождения диспансеризации Екатерина САРДАКОВА В Кузбассе 1,5 миллиона человек прошли диспансеризацию в 2023 году.

Названа предварительная причина смерти 20-летней шорт-трекистки Анастасии Середы
Мастер спорта, победитель Кубка России в эстафете на 3000 метров, шорт-трекистка Анастасия Середа умерла в возрасте 20 лет.

Отмечаем 3 важных факта 2023 года
Кузбассовцы стали более ответственно относиться к своему здоровью. Уже шесть лет, как в нашем регионе сохраняется стабильное снижение заболеваемости ВИЧ-инфекцией.

В Финляндии установлен рекорд отрицательных температур за XXI век
В Финляндии зафиксировали самую низкую для XXI века температуру — минус 44,3 градуса.
Очередной бокал может стать шагом к риску на всю жизнь
Праздничные дни – замечательное время, чтобы расслабиться и пообщаться с близкими и родными.
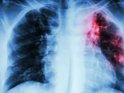
В 2023 году у 1,5 тысячи кузбассовцев обнаружен туберкулёз
За 2023 год туберкулезом в Кузбассе заболели почти 1,5 тысяч человек По данным Роспотребнадзора, за 11 месяцев прошлого года с поставленным диагнозом «туберкулёз» в медучреждения региона попали 1428 человек.

Есть трудная ситуация, звоните!
Бесплатно и анонимно вы можете позвонить по горячей линии «СТОП АЛКОГОЛЬ».

В новый год - без вредных привычек!
Начинаем новый год без вредных привычек! Если вы бросите курить сегодня, то скоро почувствуете себя гораздо лучше.