В 2023 году у 1,5 тысячи кузбассовцев обнаружен туберкулёз

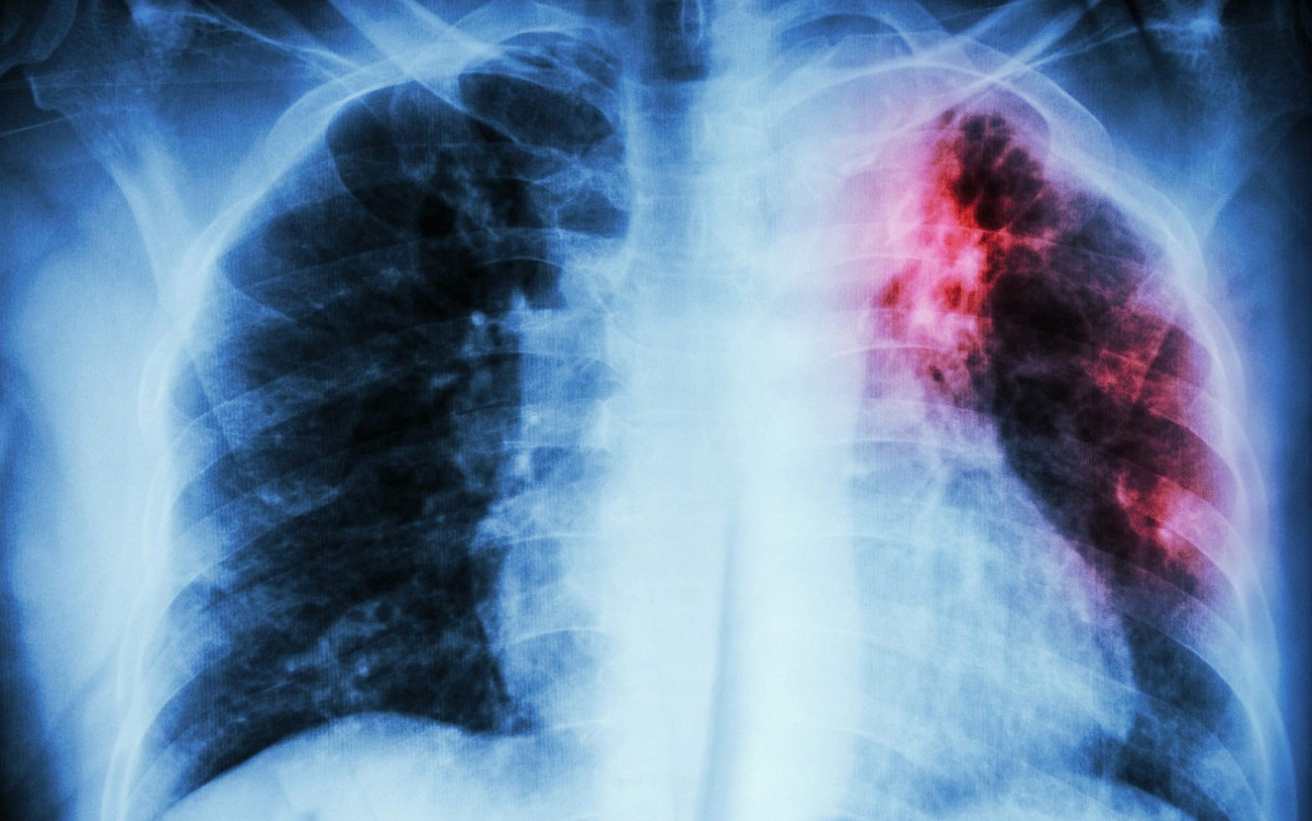
За 2023 год туберкулезом в Кузбассе заболели почти 1,5 тысяч человек По данным Роспотребнадзора, за 11 месяцев прошлого года с поставленным диагнозом «туберкулёз» в медучреждения региона попали 1428 человек.

За 2023 год туберкулезом в Кузбассе заболели почти 1,5 тысяч человек По данным Роспотребнадзора, за 11 месяцев прошлого года с поставленным диагнозом «туберкулёз» в медучреждения региона попали 1428 человек.

В основном опасным вирусом заболевали взрослые люди. Зафиксированы и случаи, когда инфекцией заразились дети до 14 лет. Их оказалось 43. Почти 25% попали в больницу в возрасте с 15 до 17 лет (статистика составлялась исходя из заболевших, у которых обнаружили поражение легких впервые).

Что касается территорий, где было выявлено больше всего заболевших с начала 2023 года - лидером по заболеваемости стал Кемерово, где зафиксировали 318 случаев. На вторую строчку попал Новокузнецк с 245 заболевшими. Закрыл тройку антилидеров Прокопьевск, где выявили 96 случаев заражения.

Последние новости

В России решили регулировать прием в вузы на платное обучение

Скоро. Председатель Совета Федерации Валентина Матвиенко и сенаторы подписали законопроект о государственном регулировании платного приема в вузы, который скоро будет внесен в Госдуму.

Компенсация морального вреда и имущественный ущерб за смерть питомца

Заводским районным судом г. Новокузнецка рассмотрено гражданское дело по иску Б. о взыскании с ответчика А.

Сегодня, 4 апреля, мысковчане активно вышли на Всекузбасский субботник, посвященный 80-летию Победы в Великой Отечественной войне

Этот день собрал людей разных возрастов и профессий, объединенных общей целью — сделать родной город чище и красивее.

Коррекция фиброза и возрастных изменений: когда показан эндотканевой лифтинг

Как современная технология помогает вернуть коже упругость, убрать отёки и улучшить рельеф без хирургии

Здесь вы найдете свежие и актуальные новости в Волгограде, охватывающие все важные события в городе

Комментарии (0)

Добавить комментарий

Ваш email не публикуется. Обязательные поля отмечены *